Коррекция в раннем детском возрасте

image002
2019 08 16 14 29 47 dinamika shkurina ulyana microsoft word

Коррекция в детском возрасте

image004
image006
2018 07 06 merzlenko

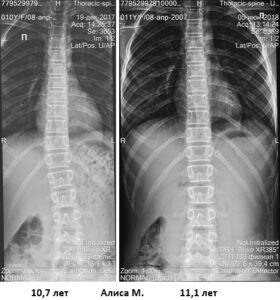
Коррекция в юношеском возрасте

image008
image010
image012
image014
2019 08 16 14 41 12 zalyubovskaya sonya 16 let microsoft word
image016

Коррекция в старшем юношеском возрасте

image018

Коррекция кифозов

nastyan
image022
image024

Мы перезвоним